0

Years guarantee on premium implants

0

Years of combined implant experience

0

Verified reviews from our patients

0

Of our annual turnover given to charity

0

Years guarantee on premium implants

0

Years of combined implant experience

0

Verified reviews from our patients

0

Of our annual turnover given to charity

Welcome to The Campbell Clinic

Dental implants, orthodontics & general dentistry tailored to you

We’re a private dental clinic in Edwalton, just outside West Bridgford, providing everything from routine check-ups and family care to advanced treatments such as dental implants and orthodontics.

Our experienced dentists are here to guide you with honest advice and personalised treatment, whether you’re seeking general dentistry, teeth straightening, or dental implants to restore your smile.

About Us

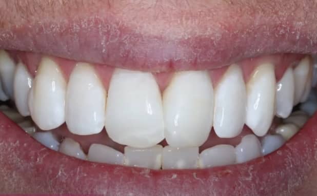
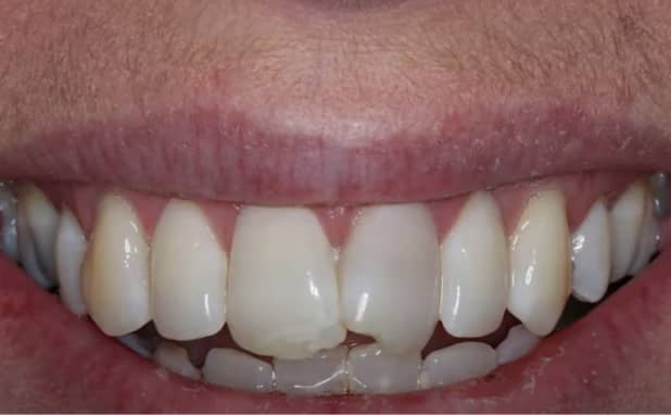
Dental implants

Replace missing teeth with natural-looking, lasting results

Dental implants are the closest solution to natural teeth in appearance, feel, and function. We offer three pricing levels for dental implant treatment to help you restore your smile and regain confidence in eating, speaking, and smiling.

Explore Dental Implants

Orthodontics, Invisalign® & Braces

Discreet and effective teeth straightening options for all ages

At The Campbell Clinic, we offer a full range of orthodontic solutions, from discreet clear aligners like Invisalign® to traditional fixed braces. Whether you’re a teen or an adult, looking for subtle teeth straightening or advanced bite correction, our team helps you achieve a straighter, healthier smile and the confidence that comes with it.

Explore Teeth Straightening

General dentistry in Nottingham

Comprehensive care and membership plans for long-term oral health

Our experienced team provides private dental care, from routine check-ups and hygiene visits to fillings and preventative treatments.

Our Total Care Memberships help you stay on top of your dental health with a simple, cost-effective plan, giving you peace of mind for you and your family.

Explore Our Total Care Memberships

Treatments

Exceptional private dentistry in Nottingham

We treat every patient as we would our own family – with honesty, empathy, and gentle care. Our highly experienced team uses the latest technology to deliver exceptional, long-lasting results in a calm and supportive environment.

Explore treatments

Natural looking implants. Lasting confidence.

Explore Dental Implants right pink plain arrow right black plain arrow

Professional care to keep your teeth healthy for life.

Explore General Dentistry right pink plain arrow right black plain arrow

Professional teeth straightening for every age.

Explore Orthodontics right pink plain arrow right black plain arrow

Personalised cosmetic care for a smile you’ll love.

Explore Cosmetic Dentistry right pink plain arrow right black plain arrow

Natural looking implants. Lasting confidence.

Explore Dental Implants right pink plain arrow right black plain arrow

Professional care to keep your teeth healthy for life.

Explore General Dentistry right pink plain arrow right black plain arrow

Professional teeth straightening for every age.

Explore Orthodontics right pink plain arrow right black plain arrow

Personalised cosmetic care for a smile you’ll love.

Explore Cosmetic Dentistry right pink plain arrow right black plain arrow

Meet the team

The people behind your care

Our team at The Campbell Clinic is dedicated to providing high-quality care in a calm and welcoming environment.

Explore our team

Testimonials

Smiles that speak for themselves

Hear how The Campbell Clinic has made a difference in the lives of our patients.

Explore testimonials
google blue red yellow green plain icon
star yellow plain icon

“The cosmetic effect is outstanding, and the treatment I received over the entire course can only be described as excellent. And I am most pleased...”

Brian

google blue red yellow green plain icon
star yellow plain icon

“I have now had my new teeth for a couple of weeks, and they are FAB! I just want to say thank you for everything...”

Chrissy

google blue red yellow green plain icon
star yellow plain icon

“I would like to express my thanks for encouraging me to consider implants for my bottom denture. For your commitment by method of discussion, trial...”

John

google blue red yellow green plain icon
star yellow plain icon

“Thank you to all the staff for your commitment and professional attention throughout the implant procedure; it has made such a difference to my quality...”

Anne

google blue red yellow green plain icon
star yellow plain icon

“I am most pleased to write to you to express my thanks for the excellent replacement and restorative treatment carried out during the last several...”

Brien

google blue red yellow green plain icon
star yellow plain icon

“All the team were kind, informative, patient, reassuring, honest and reporting. Nothing was too much trouble, appointments were rearranged if possible and the aftercare –...”

Brien

google blue red yellow green plain icon
star yellow plain icon

“The surgical implants proved to be far less invasive and painful than I had feared, and the final result is now well worth the treatment...”

Brian

google blue red yellow green plain icon
star yellow plain icon

“Just a short note of thanks for the wonderful job you did on my teeth. I must confess I was dreading the treatment process, but...”

Margaret

google blue red yellow green plain icon
star yellow plain icon

“Having dental implants turned out to be the best decision I’ve ever made. Even before I lost my upper teeth, I had never been happy...”

Leanne

google blue red yellow green plain icon
star yellow plain icon

“A 60-year search for the perfect dental practice ended here: skill, artistry, professionalism, kindness, a can-do attitude and a willingness to treat the whole patient...”

Linda

google blue red yellow green plain icon
star yellow plain icon

“The cosmetic effect is outstanding, and the treatment I received over the entire course can...”

Brian

google blue red yellow green plain icon
star yellow plain icon

“I have now had my new teeth for a couple of weeks, and they are...”

Chrissy

google blue red yellow green plain icon
star yellow plain icon

“I would like to express my thanks for encouraging me to consider implants for my...”

John

google blue red yellow green plain icon
star yellow plain icon

“Thank you to all the staff for your commitment and professional attention throughout the implant...”

Anne

google blue red yellow green plain icon
star yellow plain icon

“I am most pleased to write to you to express my thanks for the excellent...”

Brien

google blue red yellow green plain icon
star yellow plain icon

“All the team were kind, informative, patient, reassuring, honest and reporting. Nothing was too much...”

Brien

google blue red yellow green plain icon
star yellow plain icon

“The surgical implants proved to be far less invasive and painful than I had feared,...”

Brian

google blue red yellow green plain icon
star yellow plain icon

“Just a short note of thanks for the wonderful job you did on my teeth....”

Margaret

google blue red yellow green plain icon
star yellow plain icon

“Having dental implants turned out to be the best decision I’ve ever made. Even before...”

Leanne

google blue red yellow green plain icon
star yellow plain icon

“A 60-year search for the perfect dental practice ended here: skill, artistry, professionalism, kindness, a...”

Linda

Immediate Full Arch (IFAL)

Dental Implants

Nervous Patient

Dental Implants

Fear of Impressions

Periodontal Treatment

Immediate Full Arch (IFAL)

Dental Implants

Nervous Patient

Dental Implants

Fear of Impressions

Periodontal Treatment

  • Dental implant guarantee
  • The facilities
  • State-of-the-art digital technology
  • We give generously

Why choose us

Dental implant guarantee

 Video Preview

All dental implant treatments include a guarantee of up to 10-years.*

Explore Dental Implants

Why choose us

The facilities

 Video Preview

State-of-the-art facilities at The Campbell Clinic.

Explore Our Facilities

Why choose us

State-of-the-art digital technology

 Video Preview

We invest in technology to help us deliver outstanding dentistry.

Explore Our Technology

Why choose us

We give generously

 Video Preview

1% of our annual turnover is donated to charity.

Explore Our Social Legacy Project
ellipse pink plain shape

Contact

Get in touch

Contact Thumb

Appointments

Conveniently located in Edwalton near West Bridgford, Nottingham

Our private dental clinic in Edwalton, just minutes from West Bridgford, is ideally located for patients across Nottingham, including Wilford, Ruddington, and Gamston. With free parking, great transport links, and a warm, friendly team, we make dental visits simple, convenient, and stress-free.

Book an Appointment How to find us

Our partners

Google Rating
4.9
Google Rating
Google-review